健康診断で行われる腹部エコーは、私たちの体の状態を知るための重要な手段です。腹部エコーでは何がわかるのでしょうか?この検査を受けることで、内臓の異常や病気を早期に発見することが可能になります。特に肝臓や胆嚢、腎臓などの状態を詳しくチェックできるため、自分自身の健康管理に役立つでしょう。
健康診断の重要性
健康診断は、私たちの健康を維持するために欠かせないプロセスです。特に腹部エコーは、内臓の異常を早期に発見する手段として非常に有用です。例えば、肝臓や胆嚢、腎臓の状態を詳しくチェックできることで、多くの病気を未然に防ぐことができます。
また、定期的な健康診断によって、自分自身の健康状態を把握しやすくなります。異常があれば早めに対処できるため、重篤な病気になるリスクが低減します。そして、このプロセスでは医師とのコミュニケーションも重要で、自身の症状や生活習慣について話し合う機会でもあります。
腹部エコーとは
腹部エコーは、超音波を利用して内臓の状態を確認する検査です。この検査では、肝臓、胆嚢、腎臓などの内部構造や異常を非侵襲的に調べます。内臓の病変や疾患を早期発見できるため、多くの人にとって重要な健康診断の一環となります。
検査の仕組み
腹部エコーは、高周波の音波を体内に送り、その反響を画像として表示します。具体的には以下のような手順で行います:
- 超音波プローブが肌に当てられ、音波が体内に送信されます。
- 内臓から返ってきた反響が計測され、コンピュータによって画像化されます。
- 医師がその画像を分析し、必要な情報を得ます。
この方法は放射線を使用しないため、安全性も高いとされています。
検査の流れ
腹部エコーは通常、以下のステップで進行します:
- 予約:医療機関で事前予約が必要です。
- 準備:食事制限がありますので、指示通りに準備します。
- 検査実施:専用室でプローブを使いながら約20分程度行われます。
- 結果説明:検査後に医師から結果について説明があります。
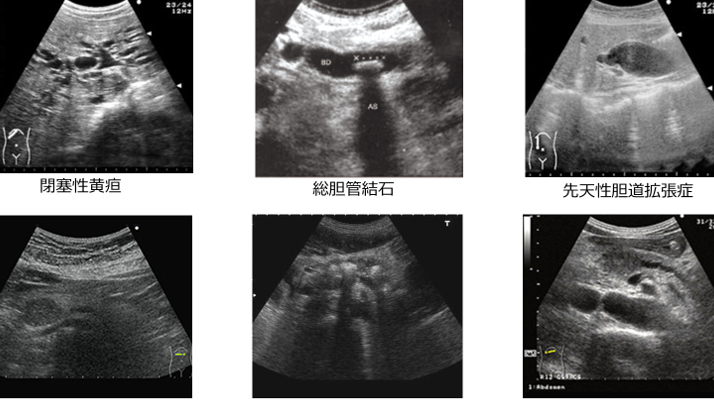
腹部エコーでわかること
腹部エコーは、内臓の健康状態を評価する重要な手段です。この検査では、肝臓や胆嚢、腎臓などの状況を詳しく確認できます。以下に具体的な内容を示します。
臓器の状態
腹部エコーは、各臓器の構造や機能を視覚化します。例えば、
- 肝臓: 肝硬変や脂肪肝の兆候が見つかることがあります。
- 胆嚢: 胆石や炎症がないかチェックできるため、異常が早期に発見されます。
- 腎臓: 腎結石や腫瘍なども確認できるため、適切な対策が可能です。
このように、それぞれの臓器について詳細な情報を提供し、健康管理に役立ちます。
疾患の早期発見
腹部エコーによって、多くの疾患が早期に発見されます。たとえば、
- 肝疾患: 進行する前に治療方針を決定できます。
- 胆道系疾患: 胆石症や胆管炎など、大きな問題になる前に対処可能です。
- 腎疾患: 腎機能低下につながる病気も早期に察知できます。
検査のメリットとデメリット
腹部エコーにはいくつかの重要なメリットがあります。まず、非侵襲的な検査方法であるため、体に対する負担が少なく、安全性が高いです。また、放射線を使用せずに内臓の状態を詳しく調べることができます。この検査では肝臓や胆嚢、腎臓などの異常を早期に発見できるため、適切な治療への迅速な対応が可能です。
一方で、腹部エコーにもデメリットがあります。例えば、高度な技術や専門知識を必要とし、正確な診断には経験豊富な医師による解釈が不可欠です。また、一部の病状は他の検査手法(CTスキャンやMRIなど)よりも見逃されやすい場合があります。さらに、体格によっては画像が不鮮明になることもあります。
結論
腹部エコーは私たちの健康管理において欠かせない検査です。この検査を受けることで内臓の健康状態を把握し早期発見が可能になります。肝臓や胆嚢、腎臓に関する重要な情報を得られるため疾患の進行を防ぐ手助けにもなります。
また安全性が高く非侵襲的であることから多くの人にとって安心して受けられます。我々は定期的にこのような検査を受けることで自分自身の健康を守りより良い生活を送ることができるでしょう。医師とのコミュニケーションも大切ですので疑問や不安があれば積極的に相談しましょう。
